Dysphagia in a post operative case

Recurrent Pancreatitis in a Young Male
Recurrent Pancreatitis in a Young Male
October 5, 2019
Achalasia Cardia : POEM
Achalasia Cardia : POEM
October 7, 2019

Dysphagia in a post operative case

Dysphagia in a post operative case

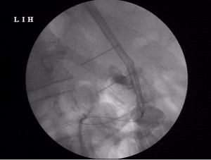
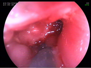
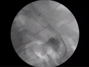
MR AS,male /55 yr was operated for distal gastrectomy for carcinoma stomach 7yrs back.He had recurrence 12 months back when he got total gastrectomy with roux-en-y esophageal-jejunal anastomosis.The jejunum was made into a J-shaped using staplers and anastomosed.He underwent chemotherapy.Recently,patient had absolute dysphagia to solids and liquids he could take inadequately.His PET scan confirmed recurrence at the site of anastomosis.

His gastroscopy was done and the scope could not be negotiated across tha anstomosis.The wire could not be passed under fluoroscopy for dilatation with another gastroenterologist .

I could pass a wire and dilate the esophago-jejunal anastomosis with placement of a covered metallic self expandeble stent for palliation of dysphagia with half of the covered stent in the j-shaped jejunum and half proximally.

The covered stent will serve to maintain nutrition in this advanced disease .

Leave a Reply