Anemia and Bleeding per Rectum

Pancreatic Ductal stricture with Stone
Pancreatic Ductal stricture with Stone
October 2, 2019

Anemia and Bleeding per Rectum

Anemia and Bleeding per Rectum

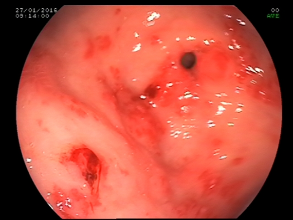
52 year male alcoholic cirrhosis of liver secondary to NASH was having anemia and bleeding per rectum due to portal gastropathy.

On pilot scopy in December 2015-

PatIent was subjected to argon plasma coagulation:APC by ERBE

IMMEDIATE RESULTS:-

AFTER 4 WEEKS THE RESULTS WERE ENCOURAGING AND HE WAS SUBJECTED TO SECOND SESSION OF APC

IN JANUARY 2016-

SECOND SESSION OF APC DONE

ARGON PLASMA COAGULATION IS THE GOLD STANDARD FOR TREATING PORTAL GASTROPATHY

OTHER USES OF APC IN ENDOSCOPY
RADIATION INDUCED GUT INJURY
PEPTIC ULCER MANAGEMENT
ANGIODYSPLASIA IN INTESTINE

Leave a Reply